
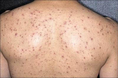
当前位置:重庆朝天门皮肤科医院 > 皮肤疾病 > 毛囊炎 > 毛囊炎,作为一种常见的皮肤炎症,困扰着许多人。它不仅影响皮肤的外观,还可能带来疼痛和不适。为了更有效地预防和治疗毛囊炎,了解其发病原因是至关重要的。本文将解析毛囊炎的主要病因,帮助大家更好地认识这一疾病。

文章内容也只能是个大概,建议您花几分钟时间与在线医生沟通,让在线医生为您详细的分析病情。点击此处即可在线咨询医生>>>
版权所有:重庆朝天门医院
医院电话:185-8105-9277
地址:重庆市渝中区新华路142号(万吉广场)(长江索道斜对面)
乘车路线:轨道1号(小什字站 5号出口);乘坐132路,181路,105路,135路
153路,261路,476路,898路,891路,0491路,0492路,0493路
到新华路站下车即可
网站地图
备案号:渝ICP备15013108号-35
注:网站信息仅供参考,不能作为诊断及医疗依据,就医请遵照医生诊断